
Founded as Cancer Therapeutics™, Inc. in 1991, we now operate as Cancer Cellular Therapeutics Inc. (CCTI) to emphasize the cellular nature of our Cancer Therapeutics™. CCTI's laboratory offers access to technologies grouped under the modality of Biotherapy. Biotherapy is based on treatments that enhance the patient's own immune system to attack the invading cancer. Research has shown cancer to be a highly individualized disease. Treatments such as surgery, chemotherapy and radiation work well for some patients, but may not be effective for others. Therefore, Biotherapy has become the fourth method for treating cancer.
The CCTI laboratory provides rapidly emerging cell-related technologies that can assist oncologists in treating advanced cancer patients. Biotherapy is firmly established - along with surgery, chemotherapy and radiation - as the fourth modality of cancer treatment. New biological drugs, such as Interferons and Interleukins, are emerging on an accelerated basis and the therapies utilizing them show great promise
CCTI services are not currently available and will not be available until new capital is raised.

Cryopreservation is a process where a patient's surgically removed tumor tissue is specially processed, preserved and stored in a living condition in liquid nitrogen for future use. Cryopreservation is the "gateway" to biotherapy in that it provides options for additional treatments such as Tumor Derived Activated Cells (TDAC) or Vaccines should standard therapy fail or cancer recur.

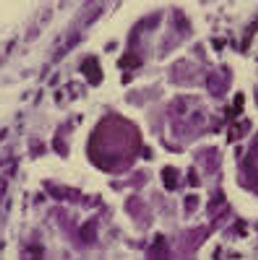
Tumor Derived Activated Cells are obtained by processing a patient's tumor specimen in CCTI's highly specialized laboratory and selectively grow the T-lymphocytes (T-cells) from the tumor. These tumor-specific cells are activated with the FDA-approved drug, Interleukin-2, and then placed into a bioreactor. After weeks of closely monitore
Tumor Derived Activated Cells are obtained by processing a patient's tumor specimen in CCTI's highly specialized laboratory and selectively grow the T-lymphocytes (T-cells) from the tumor. These tumor-specific cells are activated with the FDA-approved drug, Interleukin-2, and then placed into a bioreactor. After weeks of closely monitored growth, the resulting billions of TDAC cells are harvested into an infusion bag and sent back to the oncologist for patient infusion. CCTI's laboratory is a industry leader in processing tumor derived cells in a bioreactor process to produce TDAC for this advanced therapy.

The tumor specimen is sent to CCTI's laboratory where it is processed and the cancer cells are cultured to develop a tumor cell line. Cells are irradiated to prevent growth. Vials of cells are cryopreserved and prepared for patient treatment.

This organization is under the guidance of its CEO, Dr. Robert K. Oldham, an internationally recognized oncology/hematology specialist. Dr. Oldham has realized his dream of making advanced treatments easily available to cancer patients by establishing CCTI, and the related Clinical Services. He is regarded as a leading pioneer in the development and use of Biotherapy - the fourth modality in cancer treatment. Dr. Oldham has been listed in "The Best Doctors of America" since Woodward / White began publishing the list.
Dr. Oldham attended the University of Missouri at Columbia where his undergraduate studies were in chemical engineering and pre-medical sciences. He completed his M.D. degree in 1968. During medical school, he was awarded a PHS Student Research Fellowship and two PHS Cancer Clinical Research Fellowships. Dr. Oldham subsequently interned and did his residency in Internal Medicine at the Vanderbilt University Hospital in Nashville. He continued his education with a Medical Oncology Fellowship and graduate studies in immunology at the National Cancer Institute (NCI) in Bethesda, Maryland during 1970-1972. There he served as Clinical Associate in the Radiation Branch and in the Cellular and Tumor Immunology Section of the Laboratory of Cell Biology.
Research and active leadership in cancer treatment has been the ongoing focus of Dr. Oldham’s professional life. He left the National Cancer Institute in 1972 to serve as Hematology Research Associate with Professor G. Mathe’ at Hospital Paul Brousse in Villejuif, France, then returned as Senior Investigator in the National Cancer Institute’s Cellular and Tumor Immunology Section of the Laboratory of Immunodiagnosis during 1973-1975. From 1975-1980 he served as Associate Professor of Medicine and Associate Director of the Vanderbilt Cancer Center where he also was Founder and Director of the Division of Oncology. Dr. Oldham returned to the National Cancer Institute from 1980-1984 to serve as Associate Director of the Division of Cancer Treatment and as Founding Director of the Biological Response Modifiers Program. In 1984, Dr. Oldham established the Biological Therapy Institute (Founder and Director) in Franklin, Tennessee; the Biomedical Research Center at the University of British Columbia (Founder and Consultant); and Biotherapeutics Incorporated (Founder, Scientific Director and Chairman of the Board) in Nashville. Since then, he has also served as Chairman of the Board for Media America, Chairman of the Board and President of American Patient Services, Medical Director of Cancer Treatment Associates, and Chairman of the Board and CEO of Cancer Therapeutics™, Incorporated. In addition to Dr. Oldham’s current role with Cancer Cellular Therapeutics, he works as a Director, Lower Keys Cancer Center, Key West FL and holds a Clinical Professorship of Medicine in Hematology/Oncology at the University of Missouri-Columbia and is a Clinical Professor in the Department of Biomedical Sciences at Florida State University College of Medicine. Dr. Oldham currently serves as consulting Medical Director and Vice President for Business Development for CBA Research in Lexington, Kentucky.
Dr. Oldham has received several NCI clinical group appointments including the Lung Cancer and Southeastern Oncology Study Groups. He was the Founder and President of the Society for Biological Therapy and was Founder and Chairman of the Cancer Biotherapy Study Group. He has also acted as consultant to various companies in the US and abroad such as Gen-Cell (Rhône-Poulenc), Jenner Technologies, Wellcome Biotechnology Ltd. and Amersham Corporation in England. More recently, he has been a senior consultant with the American Red Cross, Cell Genesys Inc., Xcyte Therapies and Maxim Pharmaceuticals. Dr. Oldham is the founder and has served as editor-in-chief of three medical journals: Cancer Biotherapy (now Cancer Biotherapy & Radiopharmaceuticals), Molecular Biotherapy, and Journal of Biological Response Modifiers (now Journal of Immunotherapy). He has also served on the editorial boards of three additional journals. He is the editor of Principles of Cancer Biotherapy - the first comprehensive textbook on the fourth modality of cancer treatment and has authored or edited thirteen books on cancer treatment and research. Additionally, he has contributed over 400 papers to the medical/scientific literature and has presented thousands of abstracts, posters, and lectures at various meetings on cancer research and treatment. Dr. Oldham has received many awards and honors. He holds or has held membership and/or office in 19 professional societies.

The Cure describes the lives of several cancer patients as they attempt to understand and deal with their devastating disease. At the same time they read of enormous opportunities in cancer research and new treatments coming to the forefront almost on a daily basis, they encounter barriers and difficulties in accessing new treatments. They call about a promising new treatment only to find that they are "not eligible for the protocol." They are about to begin a new form of therapy when their insurance company tells them they will not pay for the cutting edge treatment. They talk to physicians involved in cancer research and learn that many are on ego trips for personal gain which actually slows progress in the field, while others represent institutional interests which lessen opportunities for the patient.
It is through these trials and tribulations that the cancer patients in "The Cure" deal with the problem of accessing new treatments with a limited amount of time and a critical illness. Through the experiences of these patients, the reader will come to understand that cancer research is a complicated human endeavor where the patients' best interests are not always at the forefront.

"BioEthics" is a compilation of writings by Dr. Robert K. Oldham, a prominent oncologist with experience at the National Cancer Institute, the university and in the private sector, as well as the writings of other individuals concerned with the ethics of cancer research.
"BioEthics" allows the reader to better understand the complexities of drug development, insurance reimbursement, federal regulations, and the inner workings of the cancer research and treatment establishment. Although many believe these entities are working for the cancer patient, it is clear from the writings contained within this book, that sometimes conflicts develop which actually impede the progress of physicians attempting to bring new treatments forward for patients with cancer.
"BioEthics" represents an excellent reference work for all those involved in the field of cancer research, cancer treatment, bioethics, and medicine. In addition, it allows the patient reader to better understand the difficulties of accessing new treatment in the United States

Cancer Biotherapy and Radiopharmaceuticals is a bi-monthly journal which reports new and innovative investigations of methods to improve cancer therapy. This includes more selective delivery of drugs, biologicals and radiopharmaceuticals, as well as advances in delivery instrumentation and technology, with the aim to increase the efficacy of therapy and/or decrease toxicity, and improve the convenience of therapy.

"Principles of Cancer Biotherapy", now available in the 5th Edition, contains the latest information in the biological therapy of cancer, the fourth modality of cancer treatment. Most of the exciting new advances in cancer treatment are occurring in the field of biological therapy, which complements the older modalities of surgery, radiation therapy and chemotherapy. "Principles of Cancer Biotherapy" is written in a user-friendly style and is an invaluable resource for clinical oncologists/ hematologists, nurses, physicians and medical students.

In "The Resurrection", the bridge between life and death is discovered by a world-renowned neurosurgeon – but it just might cost him his life in this taut, well-paced medical thriller. Dreams are the substance of the soul – and when Dr. Robert Gordon discovers their chemical and spiritual link to the afterlife, bitter medical rivals and a host of rogue government agents will stop at nothing to steal the good doctor's research – even if it means murdering him in order to claim the prize for themselves. The bridge between life and death might be Dr. Gordon's only hope to save his own life.
In the tradition of Robin Cook and Michael Crichton, this razor-edged thriller takes the reader on a nerve-jangling journey to life beyond time and the grave – with enough unexpected twists and turns to keep scientists and theologians scratching their heads and wondering, “Why didn't I think of that?”
“A classic battle of good versus evil at the last frontier: Death and the Afterlife.”
— Dr. J. Steven Johnson, Radiation Oncologist, John D. Archbold Memorial Hospital.
“What a great read … I found it so provocative and interesting I couldn’t put it down once I started it.”
— Dr. Gerald N. Kadis, Neurosurgeon, South Georgia Neurological Institute.
“The Resurrection was a fast-paced, engaging, fun medical mystery that wove in insights about clinical research and the FDA, based on Dr. Oldham’s distinguished career as a cutting-edge researcher.”
— Lynn S. Bachrach, president and CEO, Clinical Research Group, Inc.
We use cookies to analyze website traffic and optimize your website experience. By accepting our use of cookies, your data will be aggregated with all other user data.